Mới đây, thông tin từ Trung tâm Y tế khu vực Thanh Sơn (Phú Thọ) cho biết, đơn vị này đã tiếp nhận một bệnh nhân bị u bàng quang xâm lấn niệu quản do chủ quan với các dấu hiệu cảnh báo.
Theo đó, bệnh nhân nữ, 61 tuổi được đưa đến viện trong tình trạng tiểu buốt, tiểu ra máu kèm theo đau mỏi vùng thắt lưng.
Khai thác tiền sử được biết, người bệnh không có thói quen đi khám sức khỏe định kỳ. Trước khi vào viện 2 ngày, bệnh nhân xuất hiện các triệu chứng trên và ngày càng nặng nên được gia đình đưa đến viện thăm khám.

Bệnh nhân được phát hiện u bàng quang từ dấu hiệu tiểu nuốt, tiểu ra máu. Ảnh: BVCC.
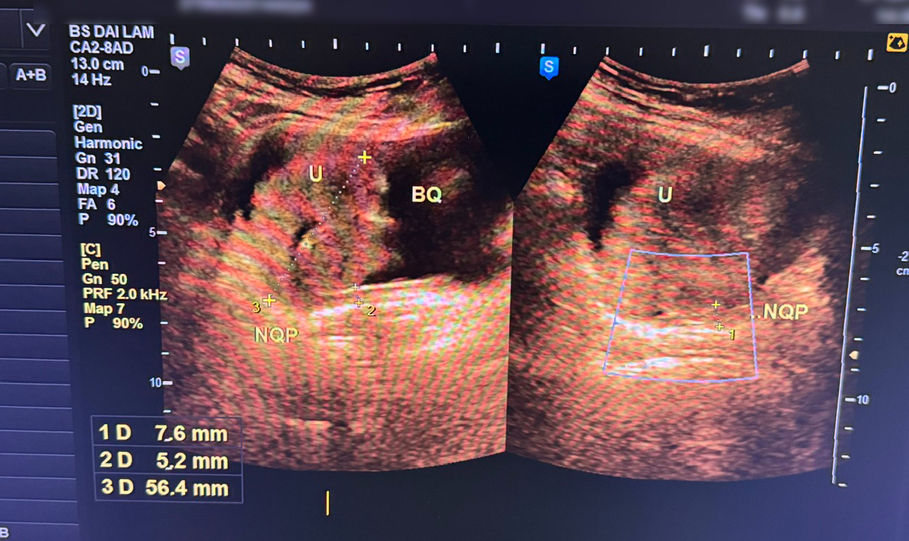
Tại đây, qua thăm khám lâm sàng và thực hiện các cận lâm sàng cần thiết, hình ảnh siêu âm cho thấy thành bàng quang dày không đều, tại đáy bên phải (tam giác bàng quang) xuất hiện một khối tổ chức đặc có xơ hóa, vôi hóa, kích thước 53x54x50mm (khoảng 76 gram). Khối này sùi vào lòng bàng quang, bờ không đều, ranh giới rõ, đồng thời xâm lấn vào niệu quản bên phải gây giãn đài bể thận.
Trên cửa sổ Doppler, khối u có hình ảnh tăng sinh mạch, nước tiểu quan sát không đồng nhất. Với các kết quả thu được, bác sĩ thống nhất chẩn đoán: u bàng quang xâm lấn niệu quản phải. Sau khi giải thích rõ tình trạng bệnh, người bệnh cùng gia đình đã được tư vấn và hướng dẫn lên tuyến trên để tiếp tục điều trị.
Không chủ quan với tiểu buốt, tiểu ra máu
Theo các bác sĩ, tiểu ra máu có thể xuất phát từ nhiều nguyên nhân, bao gồm nhiễm trùng đường tiết niệu như viêm bàng quang, viêm thận – bể thận thường kèm tiểu buốt, tiểu rắt hoặc sốt; sỏi tiết niệu như sỏi thận, sỏi niệu quản hoặc sỏi bàng quang gây tổn thương niêm mạc, dẫn đến chảy máu…
Đây cũng có thể là dấu hiệu của u bàng quang, u thận, ung thư đường tiết niệu, thường gặp ở người lớn tuổi, hút thuốc lá. Tiểu ra máu cũng cảnh báo tổn thương thận hoặc bàng quang do tai nạn; dị dạng thông động tĩnh mạch thận; rối loạn đông máu hoặc tác dụng phụ của thuốc như thuốc chống đông.
Ngoài tiểu máu, bệnh nhân có thể gặp các dấu hiệu sau: Tiểu buốt, tiểu rắt, tiểu nhiều lần; đau tức vùng hông lưng (gợi ý sỏi thận) hoặc đau bụng dưới (viêm bàng quang); sốt, ớn lạnh (nhiễm trùng); sụt cân không rõ nguyên nhân, mệt mỏi kéo dài (nghi ngờ ung thư).
Tuy nhiên, điều đáng lo ngại là nhiều người thường bỏ qua các triệu chứng ban đầu như tiểu ra máu, tiểu buốt, tiểu rắt hay đau vùng hông lưng, dẫn đến việc bệnh chỉ được phát hiện khi đã ở giai đoạn muộn.
Vì vậy, các chuyên gia khuyến cáo, người dân, đặc biệt là những người trên 50 tuổi, cần chủ động đi khám sức khỏe định kỳ để sàng lọc, phát hiện sớm các bệnh lý đường tiết niệu cũng như các bệnh mạn tính khác, tránh trường hợp bệnh phát triển đến giai đoạn muộn, ảnh hưởng đến sức khỏe, thậm chí tính mạng người bệnh.
Nguồn: Sức khỏe đời sống (Link)
Thông tin hữu ích khác:
– Volkswagen Nha Trang
– Kiến thức gia đình
– Xe hơi Volkswagen
– Tri thức đời sống
– Giá xe Volkswagen
– Mua xe Volkswagen
