Tăng huyết áp kéo dài khiến bệnh nhân 2 lần đột quỵ
Mục lục
Hơn 15 năm qua, ông N.V.T (55 tuổi, ngụ tại Long An) đã phải sống chung với căn bệnh tăng huyết áp không rõ nguyên nhân. Dù kiên trì điều trị và tuân thủ nghiêm ngặt phác đồ thuốc tại một cơ sở y tế gần nhà nhưng tình trạng vẫn không cải thiện.
Huyết áp dao động bất thường kèm theo tình trạng hạ kali máu kéo dài đã khiến ông hai lần bị tai biến mạch máu não vào năm 2011 và năm 2023, để lại những di chứng nặng nề cả về sức khỏe lẫn tinh thần.
Sau nhiều năm sống chung với bệnh, ông T. không ngừng trăn trở trong lòng một câu hỏi: Vì sao bệnh không cải thiện dù đã điều trị tích cực, nguyên nhân do đâu?

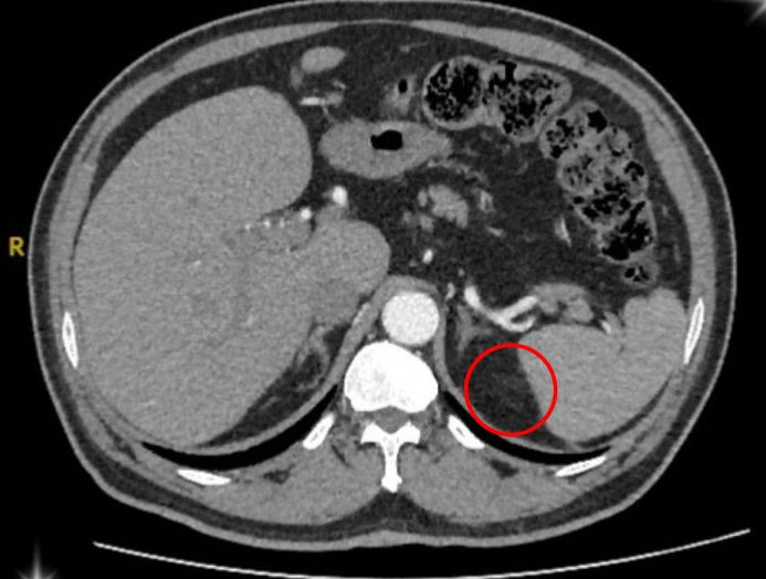
Hình ảnh vùng ổ bụng của bệnh nhân u tuyến thượng thận. Ảnh: BVCC
Tìm ra nguyên nhân tăng huyết áp do mắc u tuyến thượng thận
Được người quen giới thiệu, ông quyết định tìm đến BVĐK Xuyên Á Long An để khám. Tại Phòng khám Khoa Ngoại Tiết Niệu của bệnh viện, các bác sĩ đã đánh giá lại toàn bộ tình trạng sức khỏe, cẩn trọng loại trừ các nguyên nhân nội khoa thông thường.
Sau quá trình kiểm tra kỹ lưỡng, ông T. được xác định mắc phải hội chứng Conn (hay còn gọi là cường Aldosterone tiên phát) – một bệnh lý hiếm gặp do khối u nhỏ ở vỏ tuyến thượng thận gây ra.
Tăng huyết áp liên quan gì đến u tuyến thượng thận?
Theo BS. Đinh Công Thịnh – Bác sĩ Khoa Ngoại Tiết Niệu, tuyến thượng thận là cơ quan nội tiết nhỏ nằm phía trên thận, đóng vai trò quan trọng trong việc sản xuất hormone giúp điều hòa huyết áp, cân bằng nước, điện giải và kiểm soát quá trình chuyển hóa của cơ thể.
Khi xuất hiện khối u, tuyến này tăng cường tiết ra aldosteron (là hormone giúp điều hòa natri và kali trong máu). Khi lượng hormone này tăng quá mức, người bệnh sẽ rơi vào tình trạng tăng huyết áp kéo dài, hạ kali máu, mệt mỏi, đau đầu, chuột rút, thậm chí rối loạn nhịp tim.
Huyết áp ổn định sau khi cắt bỏ u tuyến thượng thận
Ngay sau xác định nguyên nhân, các chuyên khoa liên quan bao gồm: Ngoại Tiết Niệu, Nội Tiết, Nội Tim Mạch tiến hành hội chẩn, thống nhất bước đầu điều trị nội khoa bằng thuốc ức chế Aldosteron, khi tình trạng ổn định sẽ lên kế hoạch phẫu thuật nội soi cắt bỏ khối u tuyến thượng thận.
Nhờ sự phối hợp nhịp nhàng của đội ngũ chuyên gia Ngoại Tiết Niệu cùng hệ thống máy móc nội soi hiện đại, ca mổ đã diễn ra thành công. Khối u tuyến thượng thận được loại bỏ hoàn toàn, bảo tồn tối đa mô lành xung quanh.
Sau phẫu thuật, tình trạng ông T. cải thiện rõ rệt, huyết áp ổn định, không còn những cơn tăng vọt đột ngột; kali máu trở lại bình thường; biến mất hoàn toàn tình trạng mỏi cơ, chuột rút.
Nguồn: Sức khỏe đời sống (Link)
Thông tin hữu ích khác:
– Volkswagen Nha Trang
– Kiến thức gia đình
– Xe hơi Volkswagen
– Tri thức đời sống
– Giá xe Volkswagen
– Mua xe Volkswagen
