Ho dai dẳng tưởng viêm phế quản, ai ngờ mắc ung thư hiếm gặp
Mục lục
Từ năm 2024, anh N.S.T. (32 tuổi, ở Thanh Hóa) bắt đầu xuất hiện tình trạng ho kéo dài, rõ rệt hơn vào ban đêm. Ban đầu, người bệnh tự mua thuốc điều trị tại nhà nhưng không cải thiện. Sau hơn một năm, triệu chứng tiến triển nặng hơn với ho nhiều, khạc đờm, khó thở khi gắng sức, thở khò khè.
Người bệnh từng thăm khám tại một số cơ sở y tế và được chẩn đoán theo hướng nhiễm trùng hô hấp, sử dụng kháng sinh và có cải thiện tạm thời, song không dứt điểm. Nhận thấy tình trạng kéo dài bất thường, anh T. quyết định đến Bệnh viện Đa khoa Medlatec để kiểm tra chuyên sâu.
Tại đây, bệnh nhân được PGS.TS.BS Hoàng Thị Phượng trực tiếp thăm khám và chỉ định thực hiện các xét nghiệm cận lâm sàng.
Nội soi phế quản phát hiện dấu hiệu nghi ngờ ung thư

Hình ảnh nội soi phế quản: U sùi thâm nhiễm gây hẹp 1/3 dưới khí quản. Ảnh: BVCC
Kết quả nội soi phế quản ban đầu ghi nhận niêm mạc khí – phế quản sung huyết, xuất hiện tổn thương dạng sùi, tăng sinh mạch và gây hẹp lòng khí quản đoạn 1/3 dưới cùng hệ thống phế quản phải. Đây là dấu hiệu gợi ý tổn thương u trong lòng đường thở.
Tuy nhiên, do lo ngại nguy cơ chảy máu, bệnh nhân và gia đình chưa đồng ý sinh thiết, khiến việc chẩn đoán xác định bị trì hoãn. Các xét nghiệm vi sinh sau đó đều âm tính, không tìm thấy nguyên nhân nhiễm trùng đặc hiệu.
Ở lần nội soi tiếp theo, tổn thương tiến triển rõ rệt hơn, khối u chít hẹp hoàn toàn phế quản gốc phải, kèm dịch mủ. Xét nghiệm phát hiện vi khuẩn Haemophilus influenzae, bệnh nhân được điều trị kháng sinh 2 tuần, giúp giảm ho khoảng 60–70%, nhưng tình trạng khó thở vẫn tồn tại.
Kiên trì thuyết phục sinh thiết, làm rõ bản chất khối u
Trước diễn biến bất thường, bác sĩ nhận định nguy cơ ung thư đường thở cao và tiếp tục chỉ định nội soi phế quản lần nữa. Lúc này, khối u đã bít tắc hoàn toàn phế quản gốc phải và lan lên khí quản.
Việc sinh thiết được xác định là bắt buộc để chẩn đoán. Sau khi được giải thích rõ ràng, gia đình đồng ý thực hiện thủ thuật.
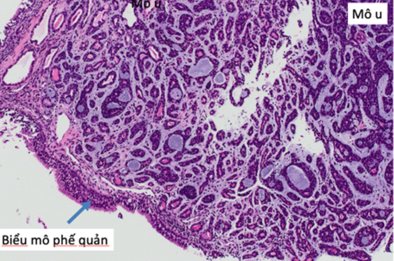
Kết quả giải phẫu bệnh cho thấy mô u có cấu trúc đặc trưng với hai thành phần tế bào, sắp xếp dạng ống và dạng mắt sàng. Nhuộm hóa mô miễn dịch ghi nhận các dấu ấn phù hợp, từ đó xác định bệnh nhân mắc ung thư biểu mô dạng tuyến nang (Adenoid cystic carcinoma).

Hình ảnh vi thể xét nghiệm mô bệnh học của bệnh nhân. Ảnh: BVCC
Ung thư biểu mô dạng tuyến nang: Dễ bị nhầm với bệnh hô hấp thông thường
Ung thư biểu mô dạng tuyến nang là thể ung thư hiếm của đường thở, tiến triển chậm nhưng âm thầm. Triệu chứng ban đầu như ho kéo dài, khò khè, khó thở rất dễ bị nhầm với viêm phế quản hoặc nhiễm trùng hô hấp, khiến nhiều bệnh nhân điều trị sai hướng trong thời gian dài.
Khi khối u phát triển lớn, tình trạng tắc nghẽn đường thở trở nên rõ rệt, ảnh hưởng nghiêm trọng đến chức năng hô hấp và tiên lượng bệnh.
Trường hợp này cho thấy tầm quan trọng của việc không chủ quan với triệu chứng ho kéo dài. Khi điều trị thông thường không hiệu quả, người bệnh cần được thăm khám chuyên sâu, đặc biệt là nội soi phế quản và sinh thiết, để phát hiện sớm các tổn thương ác tính tiềm ẩn.
Nguồn: Sức khỏe đời sống (Link)
Thông tin hữu ích khác:
– Volkswagen Nha Trang
– Kiến thức gia đình
– Xe hơi Volkswagen
– Tri thức đời sống
– Giá xe Volkswagen
– Mua xe Volkswagen
