Nhồi máu cơ tim từ dấu hiệu đau tức ngực
Bệnh nhân P.V.P. (86 tuổi, trú phường Quang Hanh, tỉnh Quảng Ninh) được đưa vào Bệnh viện Đa khoa tỉnh Quảng Ninh trong tình trạng đau tức ngực dữ dội. Qua thăm khám và cận lâm sàng, các bác sĩ chẩn đoán người bệnh bị nhồi máu cơ tim cấp kèm biến chứng sốc tim, huyết động không ổn định, chức năng tim suy giảm rõ rệt.
Trước nguy cơ đe dọa trực tiếp tính mạng, với sự đồng thuận của gia đình, người bệnh được chuyển thẳng đến phòng can thiệp tim mạch trong tình trạng tối khẩn.
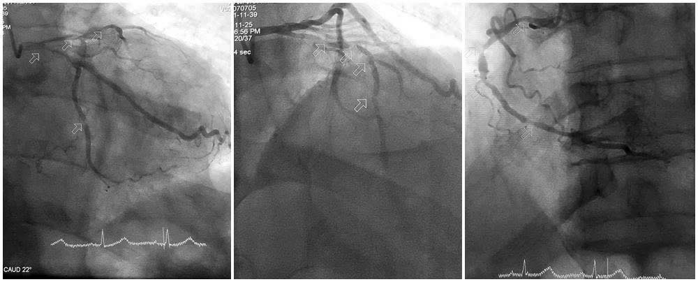
Kết quả chụp mạch vành cho thấy mức độ tổn thương đặc biệt nghiêm trọng: Động mạch liên thất trước hẹp tới 90–99%, gần như tắc hoàn toàn; động mạch mũ và động mạch vành phải hẹp 80–90%; hệ mạch vành vôi hóa nặng, thành mạch cứng, làm tăng nguy cơ biến chứng khi can thiệp.

Ảnh: BVCC
Một ca nhồi máu cơ tim biến chứng sốc tim rất khó
TTƯT.BSCKII Trần Quang Định – Trưởng khoa Phẫu thuật và Can thiệp Tim mạch của bệnh viện cho biết: “Đây là một ca nhồi máu cơ tim biến chứng sốc tim rất khó. Người bệnh đã 86 tuổi, thể trạng gầy yếu, trong khi hệ mạch vành vôi hóa nặng. Nếu không tái thông mạch vành kịp thời, vùng cơ tim sẽ tiếp tục hoại tử, nguy cơ tử vong rất cao. Nhưng nếu can thiệp thiếu thận trọng, biến chứng có thể xảy ra ngay trên bàn can thiệp.”
Trước tình thế “tiến thoái lưỡng nan”, ê-kíp bác sĩ nhanh chóng hội chẩn liên chuyên khoa, xây dựng chiến lược can thiệp tối ưu, ưu tiên tái thông nhanh mạch vành thủ phạm, đồng thời đảm bảo an toàn tối đa cho người bệnh cao tuổi.
Kíp can thiệp tập trung xử trí tổn thương nặng nhất, luồn dây dẫn qua các đoạn mạch vôi hóa cứng, sử dụng các dụng cụ chuyên dụng để nong bóng từng bước, mở lại lòng mạch bị hẹp nặng.
Việc vượt qua các đoạn mạch vôi hóa là thách thức lớn, song bằng kinh nghiệm, sự kiên trì và phối hợp nhịp nhàng, các bác sĩ đã đặt thành công stent vào động mạch liên thất trước, tái thông dòng máu nuôi tim.
Sau can thiệp, huyết động người bệnh dần ổn định, nhịp tim cải thiện, tình trạng đau tức ngực thuyên giảm rõ rệt.

Ảnh minh họa.
Phương pháp phòng ngừa nhồi máu cơ tim cấp ở người cao tuổi
– Không hút thuốc lá, thuốc lào vì chúng có khả năng làm giảm oxy trong máu và tổn thương niêm mạc của các mạch máu.
– Kiểm soát huyết áp: Việc kiểm soát huyết áp cần thực hiện thường xuyên đề phòng cao huyết áp.
– Kiểm soát đường huyết để phát hiện sớm bệnh đái tháo đường. Nếu mắc đái tháo đường, việc kiểm soát chặt chẽ lượng đường trong máu có thể giúp giảm nguy cơ bệnh tim.
– Cần tập luyện thể dục thể thao. Thực hiện luyện tập theo khuyến cáo của bác sĩ để phù hợp với sức khỏe, nên có thời gian tập luyện thể dục thể thao ít nhất 30 phút mỗi ngày và nhiều nhất các ngày trong tuần để chống lại tác nhân gây rối loạn nhịp tim.
– Kiểm soát cân nặng. Việc thực hiện chế độ ăn, chế độ luyện tập thì kiểm soát cân nặng, tránh béo phì là cần thiết. Việc duy trì một trọng lượng cân đối sẽ giảm nguy cơ mắc bệnh tim mạch.
– Chế độ ăn khoa học, ăn thực phẩm lành mạnh với người cao tuổi là vô cùng quan trọng. Hằng ngày nên thực hiện chế độ ăn 2 bữa/ ngày với các loại trái cây, rau và ngũ cốc – và ít cholesterol bão hòa, chất béo và natri – có thể giúp kiểm soát cân nặng, huyết áp và cholesterol.
Nguồn: Sức khỏe đời sống (Link)
Thông tin hữu ích khác:
– Volkswagen Nha Trang
– Kiến thức gia đình
– Xe hơi Volkswagen
– Tri thức đời sống
– Giá xe Volkswagen
– Mua xe Volkswagen
